As pet parents, we do everything we can to keep our furry companions healthy—but many owners don’t realize that a pet root canal is a safe, advanced alternative to extraction when a tooth is damaged or infected. In some cases, it’s the best way to preserve your dog or cat’s comfort, bite function, and quality of life.
At Carefree Dentistry & Oral Surgery for Animals, our board-certified veterinary dentists offer root canal therapy as part of our advanced dental care services. This guide explains when a root canal is appropriate, what to expect from the procedure, and how it compares to traditional tooth extraction.
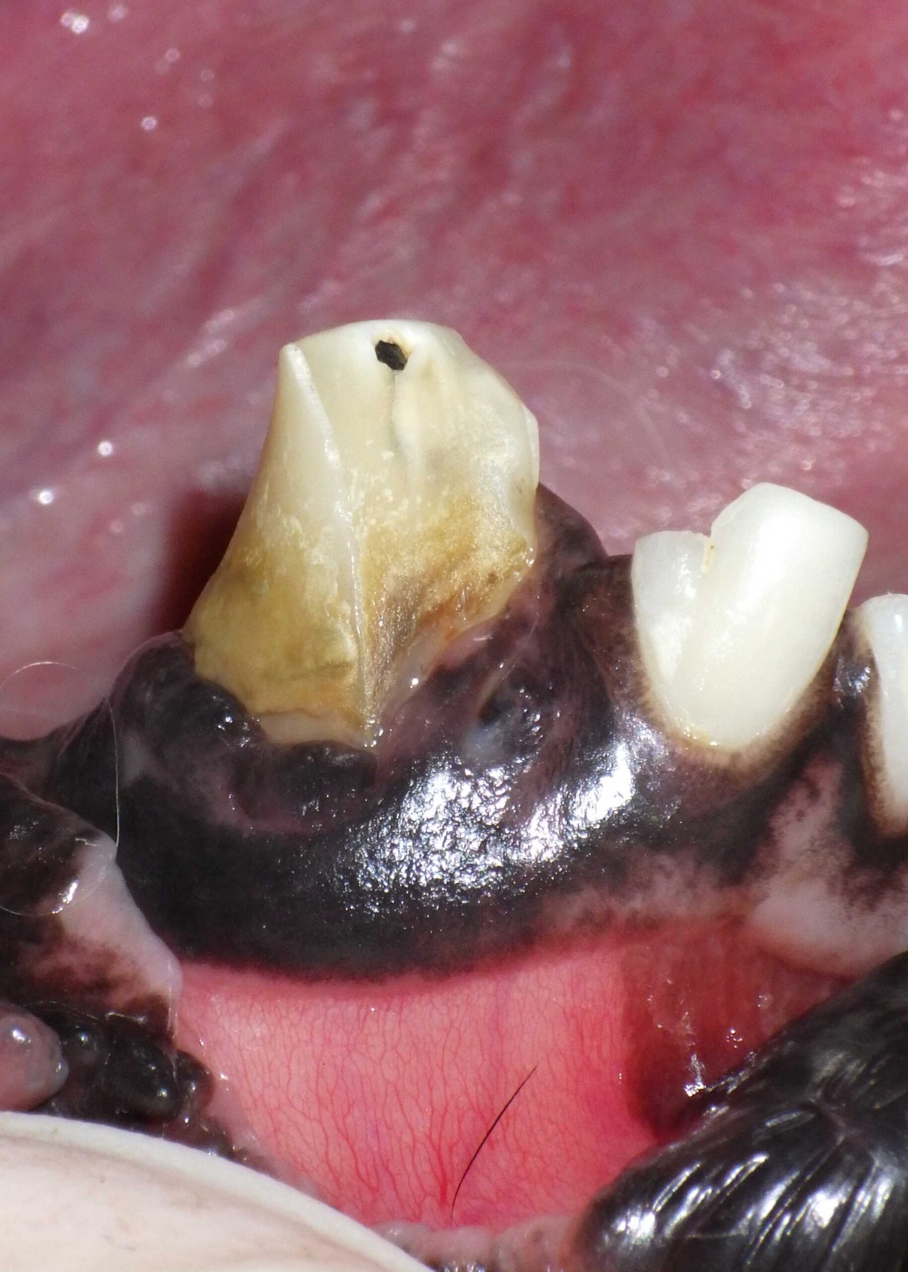
What Is a Pet Root Canal?
A root canal in pets is a dental procedure that removes the damaged pulp (inner tissue) of a tooth, disinfects the space, and seals it with a safe filling material. The goal is to retain the tooth’s structure and function while eliminating pain and infection.
Although common in humans, root canals are increasingly performed in veterinary dentistry, particularly for functionally important teeth like canines and molars.
Learn more about root canals in veterinary dentistry from the American Veterinary Dental College (AVDC)
When Is a Pet Root Canal Recommended?
Veterinary dentists may recommend a pet root canal in these situations:
Fractured Tooth With Pulp Exposure
Often caused by chewing bones or trauma, this exposes the nerve and allows infection to enter.
Discolored Tooth
A tooth that looks grey, pink, or purple may be dead or inflamed inside—even if the outer surface appears fine.
Non-Vital (Dead) Tooth
This is confirmed using dental radiographs or cone beam CT (CBCT) imaging and requires treatment.
Strategic or Essential Teeth
Key teeth—such as canines or upper premolars—help pets chew, maintain jaw alignment, and carry toys. Preserving them can be more beneficial than extraction.
Benefits of Root Canal Over Tooth Extraction in Pets
Choosing a pet root canal has several advantages:
-
Retains the natural tooth and its function
-
Avoids invasive extraction surgery
-
Preserves jawbone and bite alignment
-
Faster healing with less pain
-
Better long-term comfort for your pet
At Carefree Dentistry & Oral Surgery for Animals, our board-certified team uses advanced diagnostic imaging and precision tools to ensure the best possible outcomes.
Signs Your Pet Might Need a Root Canal
Pets often hide dental pain, so it’s important to watch for subtle signs like:
-
Dropping food or chewing only on one side
-
Facial swelling or sensitivity
-
Bad breath
-
Discolored or broken tooth
-
Sudden behavioral changes
If you notice any of these symptoms, schedule a veterinary dental consultation right away.
What to Expect During and After a Pet Root Canal
The procedure is performed under general anesthesia. Your pet will go home the same day with pain management, and recovery is typically smooth. They may need soft food for a few days and should avoid hard toys. Periodic follow-up imaging ensures the tooth remains healthy.
Why a Board-Certified Veterinary Dentist Matters
Pet root canals require advanced training and equipment. At Carefree Dentistry & Oral Surgery for Animals, our board-certified specialists perform these procedures regularly using the latest tools, CBCT imaging, and anesthesia protocols. Your pet’s safety and comfort are always our top priorities.
Schedule a Consultation for Pet Root Canal in Phoenix
A damaged or infected tooth doesn’t always mean extraction. A pet root canal can preserve your pet’s comfort, function, and overall well-being.
Located in North Phoenix, we serve pets throughout the Valley.
Visit animaldentalaz.com to schedule your pet’s dental consultation today.



