The Difference Between a Board-Certified Veterinary Dentist and a General Practitioner: Why It Matters for Your Pet
In the Phoenix area, more pet owners are recognizing the importance of advanced dental care for their dogs and cats. […]
In the Phoenix area, more pet owners are recognizing the importance of advanced dental care for their dogs and cats. […]
Dental pain in pets is easy to miss. Dogs and cats are wired to hide discomfort, so many continue eating
Signs Your Pet May Need a Tooth Extraction in Phoenix Read Post ยป
Many pet parents ask, how often should my dog see a veterinary dentist, and the answer is more important than
How Often Should My Dog See a Veterinary Dentist? Read Post ยป
When a dog experiences facial traumaโwhether from a fall, bite wound, accident, or chewing something too hardโjaw fracture treatment for
Jaw Fracture Treatment for Dogs: When Surgery Is Needed Read Post ยป
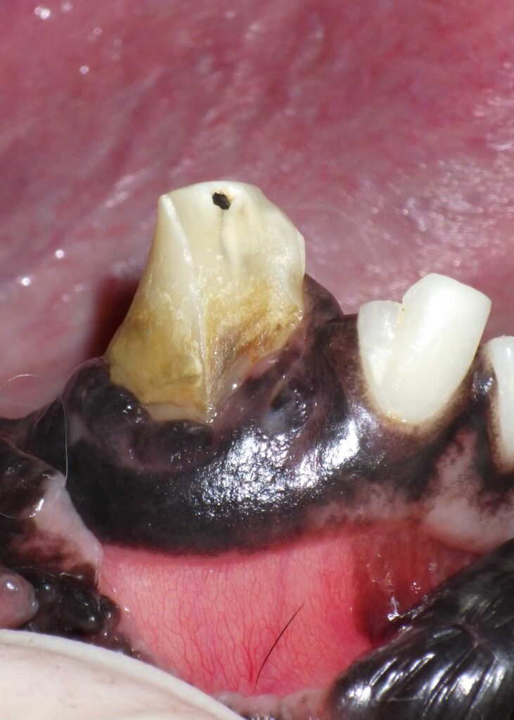
If your dog or cat chips, cracks, or fractures a tooth, itโs more than a cosmetic issueโitโs a painful medical
How Advanced Veterinary Dentistry Treats Broken Teeth in Pets Read Post ยป
Dental disease is one of the most common health problems in pets, affecting up to 80% of dogs and 70%
Early Intervention in Pet Dental Care: Why It Matters Read Post ยป
As dogs age, their dental needs change. Senior dog dental care plays a crucial role in preventing tooth loss, reducing
Senior Dog Dental Care: Preventing Tooth Loss with Advanced Options Read Post ยป
When it comes to your petโs dental health, what you see on the surface doesn’t tell the whole story. Many
Pet Dental X-Rays: Why Theyโre Essential Before a Cleaning Read Post ยป
As pet parents, we do everything we can to keep our furry companions healthyโbut many owners donโt realize that a
Pet Root Canal: When Itโs the Right Choice for Your Pet Read Post ยป
Dental issues in dogs often go unnoticed until they become severe. If you’re wondering whether your dog might need a
How to Tell If Your Dog Needs a Tooth Extraction Read Post ยป